Методика «безоперационного» способа установки имплантата
Методика «безоперационного» способа установки имплантата
За время консультации, вы получите:
Мы перезвоним Вам в рабочие часы клиники ПН-ВС 8.00-20.00
клиник Саратова
успешной практики
восстановленных зубов
гарантии на имплантат
успешных имплантаций
довольных пациентов
*-*** Подробнее
* Скидка предоставляется на подписанный комплексный план лечения с применением: имплантационная система AlphaBio + абатмент + коронка из диоксид циркония. Не суммируется с другими системами скидок, акциями и бонусами за исключением подарочного сертификата участвующего в данной акции.
** 3D-КТ Снимок остается в клинике. Если пациент захочет его забрать — услуга оплачивается по прайсу.
*** В рейтинге лучших стоматологических клиник Саратова 2024 по мнению Топ 32
Применение навигационного хирургического шаблона
Имплантация без операции — такое возможно?
Да, это возможно при использовании хирургического навигационного шаблона. В этом случае хирургу не нужно разрезать десну — достаточно сделать прокол диаметром несколько миллиметров.
Естественно, хирургия все равно нужна - имплантат помещается в костную ткань через небольшое отверстие в десне, но оно не превышает нескольких миллиметров. Поэтому процедуру называют «имплантацией без операции», «импланты без разрезов». Благодаря хирургическому шаблону имплантат будет установлен в нужное место с ювелирной точностью! Что гарантирует максимально надежный результат.
Подробнее о преимуществах:
Имплантация
Имплантация ALL-ON-4
Тотальная работа с улыбкой

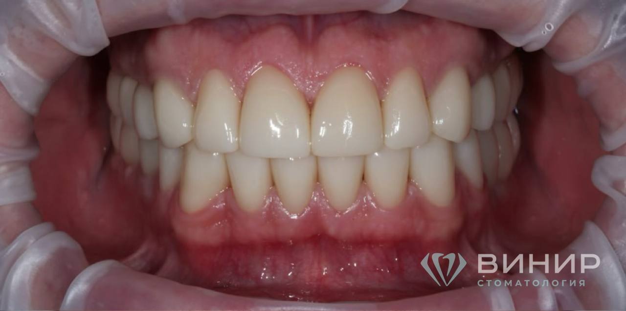
Тотальная работа с улыбкой и имплантация зубов "После"

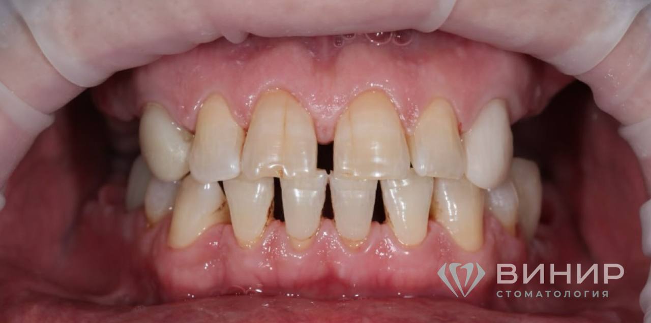
"До"

Коронки из диоксид циркония "После"

Ситуация "До"

Имплантация и протезирование жевательной группы "После"

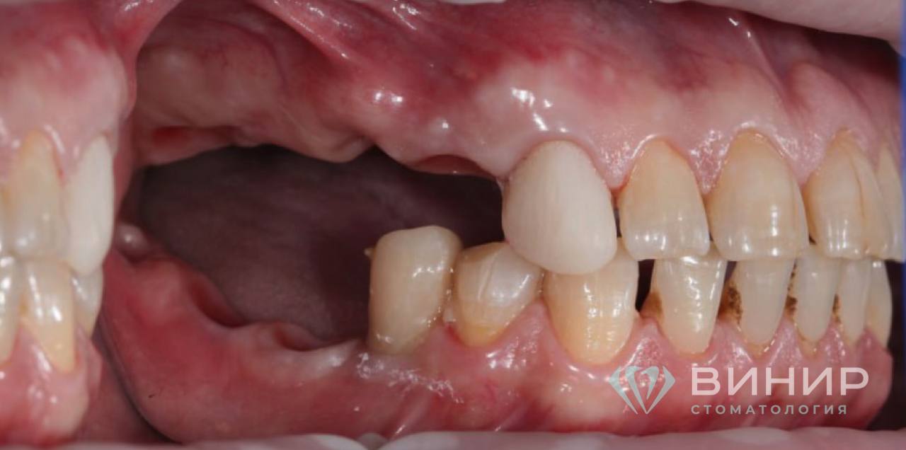
Ситуация "До"

Имплантация и протезирование жевательной группы "После"

Ситуация "До"

Имплантация - самый современный способ восстановления потерянного зуба с прогнозируемым результатом
Подробнее о преимуществах:
Виды имплантации зубов:
- Двухэтапная с отсроченной нагрузкой
- Одноэтапная с моментальной нагрузкой
- Одномоментная с моментальной нагрузкой
При полной адентии достаточно сложно установить имплантат без дополнительной операции по восполнению костной ткани. В технологии All-on-4, All-on-6 имплантаты фиксируются именно в те участки, где кости достаточно.
Подробнее о показаниях к проведению имплантации All-on-4 или All-in-6:
Убыль кости. При потере зубов кость не получает нагрузки и постепенно теряет в объёме
Неудобство съёмных протезов. Протез на имплантатах более устойчивый и долговечный, не травмирует мягкие ткани
Срочное восстановление. Необходимость воссоздания зубов в кратчайшие сроки
Главная особенность операции имплантации зубов All-on-4, All-on-6 в том, что можно установить протез, заменяющий сразу все утраченные зубы. Нет необходимости использовать схему «один зуб — один имплантат», благодаря чему сроки восстановления значительно сокращаются.

Седация — это метод, который позволяет пациенту находиться в состоянии легкого или умеренного расслабления. Во время лечения пациент вдыхает через назальную маску смесь кислорода и закиси азота. Вы сможете спокойно общаться с врачом и следовать его указаниям, но при этом уровень стресса и чувствительности снижается.
Наркоз — это более глубокий уровень обезболивания, при котором пациент спит. Данная форма, как правило, применяется в более сложных и длительных процедурах, обеспечивая пациента максимальным комфортом. Вы крепко заснете и проснетесь, когда лечение будет уже закончено, а имплантаты — установлены!
Седация
Наркоз
Мы понимаем, как важно для наших пациентов чувствовать себя комфортно и безопасно во время стоматологических процедур. Поэтому мы предлагаем современный подход к обезболиванию с помощью седации и наркоза. Можно провести любое сложное или длительное лечение: удаление, имплантацию, костную пластику.
Преимущества использования седации и наркоза при имплантации
1. Администратор запишет вас и напомнит о приеме к специалисту
2. Диагностика здоровья зубов по 3D - снимку
3. Сканирование и изготовление индивидуального хирургического шаблона
4. Процедура мплантации при помощи навигационного хирургического шаблона (хирургический этап)
5. Ортопедический этап. Установка постоянной коронки
6. Наблюдение и профилактические приемы

В нашей стоматологической клинике ВИНИР вы можете воспользоваться специальными условиями беспроцентной рассрочки на 3, 6, 10 месяцев для оплаты лечения.
Доступность: Рассрочка позволяет нашим пациентам получить качественное лечение немедленно, даже если у них нет достаточной суммы на момент обращения.
Снижение финансовой нагрузки: Рассрочка позволяет распределить затраты на лечение в удобные для них сроки.
Это не кредит! А значит, вы не переплачиваете проценты, а просто оплачиваете услуги с большим комфортом для своего бюджета.
Подробнее:

Клиника «Винир» - современная стоматология с профессиональной командой врачей.
Высокий уровень компетенций наших стоматологов в дентальной имплантации, высокоэстетическом протезировании и лечении сложных случаев заболеваний зубов позволяет получить самое эффективное лечение без лишней боли и ненужных манипуляций. Мы придерживаемся принципов доказательной медицины. Лечим и восстанавливаем зубы взрослым и детям.
Подробнее
В нашей клинике мы сформулировали 7 правил
Комфортная атмосфера:
| Приятная музыка, массажное кресло, горячий кофе с фирменным шоколадом, удобный матрас и мягкая подушка на стоматологическом кресле, очки от яркого света – помогут расслабиться и чувствовать себя спокойно. |
Лучшие врачи и экспертная стоматология:
| Наши врачи с многолетним опытом работы. Каждый по 6 -7 раз в год проходит обучение у ведущих специалистов России, Италии, Израиля, Франции, Сингапура. |
Персонализированный комплексный подход:
| Коллегиальный подход позволяет решить самый сложный случай конкретного Пациента. Мы лечим пациента, а не зубы отдельно. |
Современное оборудование:
| Высокоточные дентальные микроскопы, цифровое 3Д оборудование, собственная зуботехническая лаборатория и новейшее диагностическое рентгенологическое оборудование. |
Грамотное лечение:
| Мы лечим те случаи, от которых отказались другие врачи. Основные принципы в работе наших докторов – сохранение даже безнадежных зубов и правильное восстановление уже отсутствующих. |
Гарантии на то, что мы делаем:
| Мы ответственны за нашу работу. Безопасность, качество, долговечность – главные принципы в работе клиники «Винир». |
Искренняя забота о всех Пациентах:
| Мы знаем, что 99% хорошего сервиса – это люди. И именно поэтому мы трепетно относимся к каждому пациенту. |
Согласно независимым рейтингам*
Дмитрий Сергеевич
Бекшанов
Генеральный директор, врач-стоматолог ортопед, хирург, имплантолог
Ровшан Таджиевич
Мустафаев
Врач-стоматолог ортопед
Светлана Леонидовна
Коганова
Врач-стоматолог хирург, имплантолог, пародонтолог

Гордеева Александра
Ильинична
Врач-стоматолог хирург, имплантолог, челюстно-лицевой хирург
Денис Олегович
Степанов
Врач-стоматолог ортопед, хирург, имплантолог

Портнова Александра
Романовна
Врач-стоматолог хирург, имплантолог
Данил Дамирович
Булатов
Врач-стоматолог, челюстно-лицевой хирург
Данил Андреевич
Кузнецов
Врач-стоматолог хирург
Почему говорят, что имплантация лучше установки моста на зубы?
Имплантация действительно имеет множество преимуществ. При установке импланта восстанавливается жевательная нагрузка на челюсть, поэтому не происходит атрофия кости. Кроме того, соседние здоровые зубы не нужно обтачивать — это ещё один плюс.
Как долго приживается имплант?
Срок приживления искусственного корня на верхней челюсти – около 6 месяцев. На нижней - этот процесс происходит быстрее, в течение 2-4 месяцев. Показатели средние и зависят от анатомических особенностей пациента и клинической картины.
Можно ли установить коронку сразу после имплантации?
Метод с моментальной нагрузкой коронкой часто используется при восстановлении зубов в зоне улыбки. В этом случае используются прочные односоставные системы, которые могут выдержать нагрузку сразу после установки. Если по каким-то причинам постоянные коронки нельзя установить сразу, используют временные, улучшающие визуальную эстетику.
Приходите к нам на приём, и мы расскажем о методе подробнее!
если отсутствует несколько зубов. Нужно ставить имплант под каждый?
Всё зависит от количества и расположения зубов, которые нужно восстановить. Можно установить мост, если отсутствует несколько зубов подряд — это дешевле, но при этом не менее эффективно.
Если у вас отсутствует весь зубной ряд вам подойдет метод имплантации "ALL-ON-4" и “ALL-ON-6”
Я очень боюсь делать имплантацию. Мне кажется, это больно?
Бояться имплантации — это нормально, поверьте. Но мы используем импортную анестезию, поэтому лечение пройдёт с максимальным комфортом. Она подбирается индивидуально в зависимости от возраста и веса пациента.
ПРАВДА ЛИ ЧТО ПОСЛЕ 60 ИМПЛАНТЫ ставить поздно?
Нет, это не правда.
Имплантаты можно ставить в любом возрасте, если нет противопоказаний. Единственное ограничение – это возраст не моложе 18-20 лет, что связанно со скелетным ростом человека и протекающим в это время перестройками в организме.
*-*** Подробнее
* Скидка предоставляется на подписанный комплексный план лечения с применением: имплантационная система Ossтem (Корея) + хирургический шаблон + абатмент + коронка из диоксид циркония. Не суммируется с другими системами скидок, акциями и бонусами за исключением подарочного сертификата участвующего в данной акции.
**** 3D-КТ Снимок остается в клинике. Если пациент захочет его забрать — услуга оплачивается по прайсу.
*** В рейтинге лучших стоматологических клиник Саратова 2025 по мнению Топ 32
Мы находимся
г.Саратов, ул.Соколовая д.10/16
ООО Медицинская клиника "Винир"
ЛИЦЕНЗИЯ 041-01020-64/00288051 ОТ 25 ДЕКАБРЯ 2020 года
ИНН 6450932981
© 2009-2026 "Винир"
Эффективное, безболезненное лечение и восстановление зубов
30 специалистов и полный спектр стоматологической помощи
Имеются противопоказания, необходима консультация специалиста
Сайт не является публичной офертой.